In the world of cosmetic dentistry, the quest for a whiter, brighter smile is a journey many embark upon. Teeth whitening, a cornerstone of aesthetic dental care, offers a transformative path from stained to stunning smiles. This comprehensive guide will navigate you through the ins and outs of professional teeth whitening, highlighting its advantages, various treatments, and key considerations, ensuring your journey leads to the best teeth of your life.
Understanding Teeth Whitening
Teeth whitening treatments are designed to remove surface stains and deep discoloration from natural teeth, restoring or enhancing their original brightness. This can be achieved through various whitening products and procedures, each tailored to individual needs and oral health conditions. From over-the-counter options like whitening toothpaste and strips to professional in-office treatments, the spectrum of solutions caters to diverse preferences and requirements.

Professional Teeth Whitening
Professional teeth whitening, conducted by a dental professional in dental offices or through prescribed at-home kits, stands out for its effectiveness and safety. It’s crucial to consider potential side effects, such as tooth sensitivity and gum irritation. Professional whitening treatments are meticulously tailored to minimize these risks, often incorporating fluoride or other desensitizing agents in the whitening solution to protect sensitive teeth.
Let’s discuss what those options are.

Zoom Whitening
Zoom whitening is a popular in-office teeth whitening treatment renowned for its efficiency and effectiveness in achieving a brighter smile. This advanced cosmetic dentistry procedure utilizes a powerful bleaching agent, usually hydrogen peroxide, activated by a special LED light to expedite the whitening process. Designed for those seeking significant whitening results in a short amount of time, Zoom can lighten teeth up to eight shades in just one office visit, making it a favorite choice for individuals looking to enhance their smile swiftly and safely. Now you may be asking yourself, what exactly is Zoom whitening?
Zoom whitening is more than just a bleaching treatment; it’s a comprehensive smile enhancement service offered by dental professionals. The procedure begins with a thorough cleaning of the teeth to remove any surface stains and plaque. Following this, a protective barrier is applied to the gums to prevent irritation, and the whitening gel is carefully applied to the teeth. The gel is then activated by the Zoom LED light, breaking down stains and discolorations on the tooth enamel and dentin, resulting in visibly whiter teeth.
In terms of price, on average the price range for this professional teeth whitening treatment can range from $300-$600. The longevity of Zoom whitening results can vary based on individual habits and oral hygiene. Typically, the effects can last from one year up to three years, with many patients enjoying a brighter smile for several years post-treatment.
Laser Whitening
Laser Whitening stands at the forefront of cosmetic dentistry, offering a sophisticated solution for those seeking to brighten their smile with the latest in dental technology. This advanced procedure combines the potent bleaching power of professional-grade whitening agents with precise laser technology to deliver fast, effective results.
Now what is laser whitening? Laser Whitening is a professional teeth whitening treatment that utilizes a concentrated bleaching gel, applied to the teeth’s surface, which is then activated by a specific wavelength of laser light. The laser light accelerates the chemical reaction of the bleaching agent, allowing for rapid and deep penetration into the teeth, effectively lifting stains and discoloration from both the surface and beneath the enamel. This procedure is renowned for its efficiency, often requiring only one session to achieve noticeable results, making it an ideal choice for busy individuals or those preparing for special occasions.
The cost of Laser Whitening can vary depending on several factors, including geographic location, the dental professional’s expertise, and the specific needs of the patient. Generally, the price range for this treatment can fall anywhere between $500 and $2,500. The duration of this option can last from one to three years, significantly influenced by individual lifestyle choices and oral hygiene practices.
BriteSmile
BriteSmile has established itself as a leader in cosmetic dentistry for those seeking a safer, gentler approach to achieving a brilliantly white smile. Renowned for its innovative use of blue light technology combined with a specially formulated whitening gel, BriteSmile offers a comfortable whitening experience with impressive results.
BriteSmile is a professional teeth whitening treatment that stands out for its emphasis on minimizing tooth sensitivity while maximizing whitening effectiveness. The procedure utilizes a proprietary hydrogen peroxide-based whitening gel, which is activated by a unique blue wavelength light. This light enhances the gel’s bleaching capabilities without the heat and intensity of lasers used in other whitening treatments, making it an excellent option for individuals with sensitive teeth.
The cost of a BriteSmile treatment typically ranges between $400 and $600, though prices can vary based on the dental provider’s location and reputation. BriteSmile’s professional application and immediate results justify the investment for those looking for a blend of effectiveness and comfort in their whitening treatment. The whitening effects of a BriteSmile treatment can last anywhere from one to three years, significantly influenced by the patient’s dietary habits, oral hygiene, and lifestyle choices. Additionally, touch-up treatments can help extend the life of the whitening results, ensuring a lasting bright smile.
Opalescence Go
For those who prefer the convenience of at-home care, take-home whitening kits with custom trays designed by a DDS (Doctor of Dental Surgery), Opalescence Go represents the perfect blend of convenience and professional-grade whitening, offering a hassle-free solution for those looking to brighten their smile without the commitment to in-office treatments or custom trays. This innovative system is designed for individuals seeking effective whitening results with the flexibility and comfort of an at-home treatment.
Opalescence Go is a take-home whitening system that comes with pre-filled, disposable trays, eliminating the need for impressions or custom trays. The trays are made from a unique material that comfortably conforms to your teeth, ensuring the maximum contact of the whitening gel with the tooth surfaces. The gel itself contains potassium nitrate and fluoride, not only to whiten but also to minimize sensitivity and strengthen enamel during the whitening process. Opalescence Go is available in multiple concentrations and flavors, catering to various preferences and sensitivity levels.
This is an affordable professional whitening option, with prices ranging from $50 to $100 for a complete kit. However, this option only lasts up to five to six months, with some users maintaining their white smile for up to a year based on the individual’s oral hygiene practices.
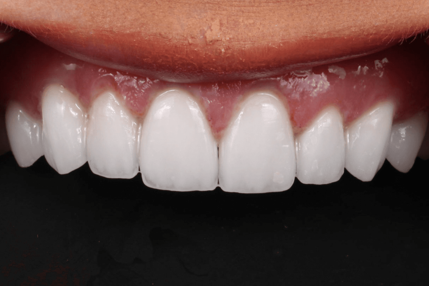
Veneers: A Durable Solution for a Flawless Smile
While professional teeth whitening treatments offer a significant improvement in the brightness of your smile, some dental concerns, such as deep discoloration, chips, or gaps, require a more comprehensive approach. This is where veneers come into play, providing a versatile and long-lasting solution that not only enhances the whiteness of your teeth but also corrects a variety of aesthetic issues.
We wrote an extensive blog on What Are Veneers in a previous blog, but to summarize what veneers are: Veneers are thin, custom-made shells crafted from porcelain or composite resin that are designed to cover the front surface of teeth, offering a way to instantly transform your smile. They are tailored to fit the individual shape and color of your teeth, ensuring a natural and appealing look.
Veneers are an excellent option for those with teeth that are stained beyond the capabilities of whitening treatments, are slightly misaligned, or have minor gaps and chips. By covering the existing tooth, veneers provide a new façade that is resistant to future stains, making them a popular choice for achieving the appearance of perfectly white and beautifully aligned teeth.
For those considering veneers as part of their smile makeover, it’s common to undergo professional teeth whitening first. This ensures that the natural teeth surrounding the veneers match and complement the bright, new appearance. Whitening treatments can be used to enhance the overall brightness of your smile before the veneers are applied, providing a uniform look that is both stunning and natural.
One of our most frequently asked questions here at Hales Aesethics is How Long Do Veneers Last? Veneers are known for their durability and can last anywhere from 20 to 30 years, or even longer, with proper care. While veneers are more of a commitment than traditional whitening treatments, their ability to provide a consistently bright and perfect smile makes them a valuable option for many seeking the ultimate in cosmetic dentistry. Veneers offer a transformative cosmetic solution for achieving a whiter, more perfect smile, especially when combined with professional teeth whitening treatments. Whether you’re looking to correct specific imperfections or desire a complete smile makeover, veneers present a customizable and long-lasting option to meet your aesthetic goals.
Oral Health: The Foundation of Whitening Success
The American Dental Association (ADA) emphasizes that good oral health is the foundation of cosmetic treatments, including teeth whitening. Regular check-ups, proper toothbrushing habits, and avoiding stain-causing substances like red wine and tobacco are essential to maintaining your whitening results and overall dental health.
Choosing the Right Professional Teeth Whitening Option
With an array of teeth whitening options available, from whitening toothpaste for daily maintenance to advanced in-office bleaching treatments, selecting the right solution requires professional guidance. A dental professional can assess your oral health, discuss your aesthetic goals, and recommend the most suitable whitening treatment or combination of procedures to achieve a brighter, whiter smile.

A Brighter Smile Awaits
Teeth whitening is a safe, effective way to enhance your smile and boost your confidence. Whether you opt for in-office treatment, at-home whitening, or alternative cosmetic dentistry options, the key to success lies in professional consultation and personalized care. Embrace the journey toward achieving the best version of your smile, supported by the expertise of cosmetic dentistry, and let your brighter, whiter smile light up the world.





