
Spring Break Glow-Up: No-Prep Veneers
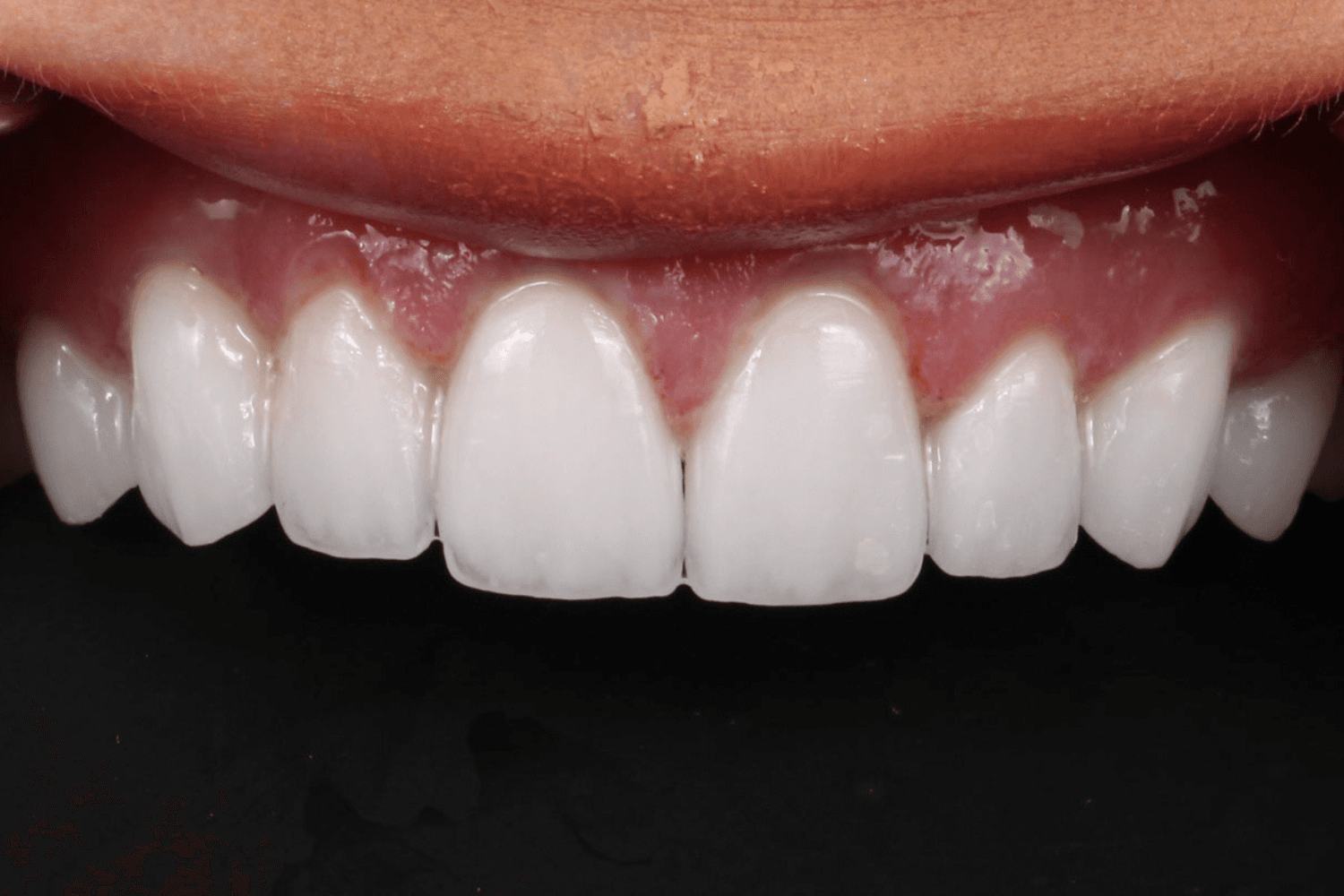
Spring Break Glow-Up: No-Prep Veneers As the season changes, many of us begin to think about new beginnings — and what better way to welcome

Spring Break Glow-Up: No-Prep Veneers As the season changes, many of us begin to think about new beginnings — and what better way to welcome

Smile Investment ROI: The Career and Social Benefits of Cosmetic Dentistry Your smile isn’t just a simple feature of your face. It’s a powerful tool

The Psychology of Smiling: How Your Teeth Affect Your Confidence As a cosmetic dentist, I’ve always been fascinated by the psychology of smiling. At Hales

Porcelain Veneers vs. Harmony Veneers: What’s the Difference? If you’ve been researching veneers, you’ve likely come across a lot of information — and a lot

The Holiday Party Smile Confidence Guide: Quick Cosmetic Solutions Before Your Big Event The holiday season is filled with moments worth celebrating—office parties, family gatherings,

Gift Yourself: Why New Year Resolutions Should Include Your Smile Goals The start of a new year is more than just flipping a page on